For some weeks ago, the EENT (ears, eyes, nose and throat) specialist referred me to an MRI examination of my brain and my temporal bone. It’s because I’ve been experiencing sudden dizziness/vertigo. The specialist wanted to rule out cancer and other form of diseases in my head because she haven’t seen anything wrong with me during the appointment. As we all know, the vestibular system is responsible for the sense of balance and any damage or sickness in that area can affect our balance and can result to for instance vertigo, hearing loss and etc.

Eventhough I’m working as a health professional (I’m a radiographer), I still get worried and anxious about anything related to my health.
I have experience operating an MRI machine and working with patients who were about to undergo an MRI examination during my clinicals. I thought that I’m a hundred percent immune to the noise, vibration and claustrophobia since I know what to expect. But I was wrong. I got nervous while the MRI table moved into the “barrel”. I told the radiographer how I felt so he attached a mirror on the head cage/coil so that I could see them in the window. Then he talked to me and informed me about each sequence’s duration are. For example, for the first sequence it’s 2 minutes.
The loud sound and strong vibrations from the MRI machine triggered my anxiety. The feeling is different when I don’t have the control this time-that it was me lying on the MRI table instead of other patient.

The duration of the MRI examination of the head is 20 minutes. Any movements is prohibited to prevent any movement artefacts and to prevent retakes. For me, it’s really hard to lie still in the machine and not have the urge to push the emergency “button”. However, I found a way to calm down by wiggling my toes and thinking about happy thoughts.
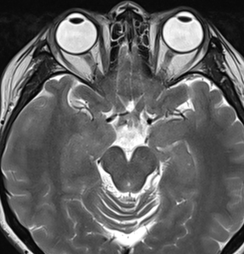
Then when the examination’s done, it was time for the waiting game. Which is worst. It makes me think that my case is so bad that the radiologist had to take time looking at my MRI. I’m sure others can relate. Even though it only takes 3-5 days for the result to come, I’ve got really impatient that I actually asked the AI app to describe my MRI photo that I got the same day of the examination. And guess what, it said that it seems like I had a cyst! So of course I got a bit shocked but at the same time sceptical. So I just set it aside and distracted to avoid inducing anxiety.
On the third day, I got an sms from the doctor and she wrote that everything is normal. 😊
So I’ve learned a lot from this experience and I’m happy that I’m not sick.
How about you? Have you ever been in a similar situation before?

Leave a comment